Events Lined Up For Brain Tumour Awareness Month
Charities Hope To Raise Awareness Of Brain Tumours And Symptoms People May Suffer

Brain Tumour Awareness Month is an event which is heald every year to raise awareness of the different kinds of brain tumours people can develop, what the symptoms are and different ways they can be provided with support to manage their every day lives. It was launched in 2004 by a group of charities which went on to become the founding members of Brain Tumour Research. Every March, they arrange a programme of activities to demmand increased national investment to help ensure a cure is found for what can be an extremely devastating disease.
As the brain controls everything a person does, people who suffer from brain tumours can experience different symptoms depending on where the tumour is and how big it has got. That's one reason why more funding needs to be made available so that people who experience similar symptoms can have regular check ups to ensure that any tumour is caught on time and hasn't grown too far to make the person who is affected severely ill. There are several different kinds of brain tumour, some of which can be more serious than others so increased awareness of the many different kinds of symptoms people can experience has to be developed to ensure that people can maintain a good quality of life and not develop any unnecessary forms of disability.
The brain is an extremely complex structure which contains millions of nerve cells and in turn, these help control dufferent parts of the body. It is also divided in to different regions which have different functions to control the way the body works. The cerebrum is the largest area and is the source of all conscious activity. There are two different hemispheres with the cerebellum just beneath them.
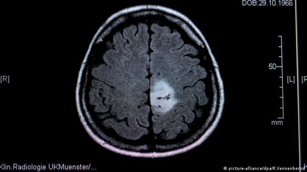
A brain tumour is a mass of abnormal cells growing in the brain. The cells can come from the brain itself or from its lining (primary brain tumours) or from other places in the body (secondary or metastatic brain tumours). Primary brain tumours can be benign or malignant. Secondary brain tumours are always malignant.
Size doesn’t matter… this is true. The size of a brain tumour doesn’t matter nearly so much as where it is located. A large, benign tumour may be easily accessible and therefore easy to remove. Or you can have a pea –sized tumour that is critically placed, and so makes treatment very difficult. However, treatments options are developing all the time and one size doesn’t fit all. Some small tumours, in tricky locations, may be treated by radiosurgery and some large, diffuse tumours crossing the midline of the brain can be difficult to treat with radiation. So each case needs to be reviewed, discussed and options explored. It’s complex!
There is no single cause why people can develop a brain tumour. Some people may be predisposed to developing them due to some genetic disorder that they may have. The risk of developing some kinds of brain tumour can increase due to certain enviromental factors. Tumours can be given different grades which define how quickly they grow and may spread.
There are many different factors which help to define a brain tumour in terms of what kind it is and how quickly it will grow so if you find you are experiencing any symptoms, the best thing to do is to seek medical advice from your doctor.
There are many different ways in which people can take part in this year's festivities. These include:
Wear A Hat Day- this is regarded as the nation's best loved brain tumour and fund raising day. It takes place on Friday 26th March. If you would like to get involved, please register at Wear A Hat Day 2022 | Brain Tumour Research
Contact Your MP- Ask your MP to attend the All-Party Parliamentary Group on Brain Tumours (APPGBT) meeting on Tuesday 2nd March, with an update from the Tessa Jowell Brain Cancer Mission.
Share a special message or tribute to a loved one who may be suffering or passed away due to a brain tumour. This can be done at Donate and make a dedication (dedicationpage.org)
Sign the petition- Brain Tumour Research Petition
You can find more ways you can get involved at Brain Tumour Awareness Month | Brain Tumour Research




Comments
There are no comments for this story
Be the first to respond and start the conversation.