Innovative Dental Technologies for Removing Calculus Bridge
Calculus Bridge

Dental health is crucial for overall well-being, and one of the common issues people faces is the formation of a it. This build-up of hardened dental plaque can lead to serious oral health problems if not addressed promptly. Fortunately, advances in dental technology have made it easier and more effective to remove it. This article explores the latest innovations in dental technology designed to tackle this issue, ensuring better oral hygiene and health.
Understanding
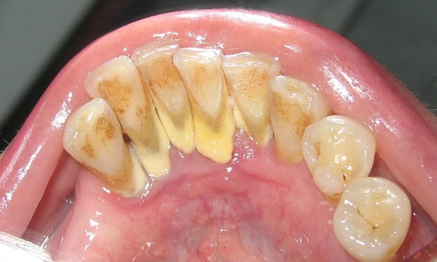
A calculus bridge, also known as tartar or dental calculus, is a hard deposit that forms on the teeth when plaque is not removed effectively. It can spread across multiple teeth, forming a bridge-like structure. This deposit is composed of minerals from saliva and gingival crevicular fluid, which harden over time. Unlike plaque, which can be removed with regular brushing and flossing, calculus requires professional intervention.
Why is it a Problem?
It can lead to several oral health issues, including gum disease, tooth decay, and bad breath. The rough surface of calculus can irritate the gums, causing inflammation and bleeding. Moreover, it creates an ideal environment for bacteria to thrive, further exacerbating oral health problems. If left untreated, calculus can contribute to the development of periodontal disease, which can result in tooth loss.
Manual Scaling
The traditional method for removing calculus is manual scaling. Dental professionals use specialized tools, such as scalers and curettes, to scrape off the hardened deposits from the teeth and below the gum line. While effective, this method can be time-consuming and sometimes uncomfortable for patients.
Ultrasonic Scaling
Ultrasonic scaling is a more modern approach that uses high-frequency vibrations to break down calculus deposits. The scaler tip vibrates rapidly, creating ultrasonic waves that shatter the calculus, which is then washed away with a stream of water. This method is faster and more efficient than manual scaling and tends to be less discomforting for patients.
Laser Dentistry
Laser dentistry has revolutionized the removal of calculus bridge. Dental lasers can precisely target and break down calculus deposits without damaging the surrounding gum tissue. This method is not only more comfortable for patients but also reduces the risk of infection and promotes faster healing. Lasers can reach areas that traditional tools might miss, ensuring a thorough cleaning.
Air Polishing
Air polishing is an advanced technique that uses a stream of compressed air, water, and fine powder to remove calculus and stains from the teeth. This method is gentle on the enamel and gums while being highly effective in removing stubborn deposits. Air polishing can reach into the crevices and grooves of the teeth, providing a comprehensive cleaning that enhances overall oral health.
Dental Ultrasonics with Piezoelectric Technology
Piezoelectric ultrasonic scalers represent a significant advancement in ultrasonic scaling technology. These devices use piezoelectric crystals to generate ultrasonic vibrations, which are transmitted to the scaler tip. The precision and efficiency of piezoelectric scalers make them particularly effective in removing calculus bridges. They offer greater patient comfort and minimize the risk of damage to the tooth surface.
Optical Coherence Tomography (OCT)
Optical Coherence Tomography (OCT) is an imaging technology that allows dentists to visualize the layers of the teeth and gums in real time. This non-invasive imaging technique can detect calculus deposits that might be hidden below the gum line or in hard-to-reach areas. By providing a detailed view of the dental structures, OCT enables more precise and targeted removal of calculus bridges, improving treatment outcomes.
Increased Comfort
Innovative dental technologies have significantly increased patient comfort during calculus removal procedures. Techniques like laser dentistry and air polishing are less invasive and cause minimal discomfort compared to traditional methods. This improved comfort can reduce patient anxiety and encourage more people to seek regular dental care.
Enhanced Precision
The precision offered by modern dental technologies ensures that calculus is removed thoroughly without damaging the teeth or gums. Laser dentistry, for instance, can target specific areas with pinpoint accuracy, while OCT provides detailed imaging for better diagnosis and treatment planning. This precision leads to better treatment outcomes and reduces the risk of complications.
Faster Procedures
Innovative technologies have also reduced the time required for calculus removal procedures. Ultrasonic scalers and laser devices work more quickly than manual scaling, allowing dentists to complete treatments in less time. This efficiency benefits both patients and dental professionals, making it easier to manage appointments and provide timely care.
Improved Oral Health
By effectively removing it, modern dental technologies contribute to improved oral health. Thorough cleaning reduces the risk of gum disease, tooth decay, and other dental issues. Patients who undergo these advanced treatments are more likely to maintain better oral hygiene and experience fewer dental problems in the long run.
Importance of Regular Dental Check-Ups
Regular dental check-ups are essential for preventing the formation it. During these visits, dentists can identify early signs of plaque build-up and remove it before it hardens into calculus. Education on proper oral hygiene practices, such as brushing, flossing, and using mouthwash, is also a crucial part of preventive care.
Daily Oral Hygiene Practices
Patients should be educated on the importance of maintaining good oral hygiene at home. Brushing twice a day with fluoride toothpaste, flossing daily, and using an antimicrobial mouthwash can help prevent plaque build-up. A balanced diet and reducing the intake of sugary foods and drinks also play a significant role in maintaining oral health.
Utilizing Preventive Dental Products
There are various dental products available that can help in preventing the formation of calculus. Electric toothbrushes, water flossers, and anti-tartar toothpaste can be effective tools in maintaining a clean and healthy mouth. Dentists can recommend specific products based on individual needs to enhance daily oral care routines.
Conclusion
Innovative dental technologies have transformed the way we approach the removal of calculus bridge. With advancements like laser dentistry, air polishing, piezoelectric ultrasonic scalers, and Optical Coherence Tomography, patients can enjoy more comfortable, precise, and efficient treatments. These technologies not only improve the removal process but also contribute to better overall oral health. By staying informed about these innovations and maintaining regular dental care, individuals can effectively prevent and address it, ensuring a healthier smile for years to come.



Comments (1)
Really valuable. Keep it up.