In Praise of Doing Nothing.
Thinking Without Thinking.

Switch off attention; engage your Default Mode Network.
My early morning run usually takes me to Richmond Park or along the river Thames. On either run, for at least six months of the year, I get the sunrise on my face as my 6-kilometre loop brings me back home. The only decision I make is before I start; deciding which route of several to take. After that, it is almost entirely unconscious. My playlist prepared, my earbuds plugged into my ears, I have 40 minutes of doing nothing except listening, putting one foot in front of the other and watching the sunrise. A moment to switch off, be in the moment, relax and prepare for the day ahead.
The effort to commit to a morning run hasn't gotten easier over the years; however, the routine is now entrenched in my morning ritual. Its absence would cause more discomfort than the empty pleasure of not doing it. The "runners high" and the surge of wellbeing that follow the run confirm that the benefits outweigh the harms. But there is a hidden benefit of the mindlessness of running; ideas.
My morning run has become my ideas factory. Doing simple routine tasks, particularly physical tasks, allows your mind to do what it does best, ruminate on ideas, solve problems and think creatively.
I would love to say that I was the first to discover this, but many Composers, Artists, and Thinkers have famously declared the value of walking and simply being quiet.
In today's world, where we are bombarded with attention-seeking missiles, this article praises doing nothing. Or nearly nothing.
Simple routine tasks, like running or taking a shower, seem to be the best time for ideas to germinate and problems to get solved, and there's good science to back this up.
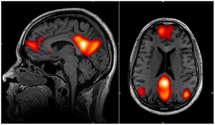
The Default Mode Network.
Last week, I spoke about the Reticular Attention System; the brain areas that direct your attention to what you care about and help exclude what it deems unimportant. This week I'd like to introduce you to your Default Mode Network. The system in your brain that does the thinking whilst you're not thinking. Quietly working in the background, when you're not directing your attention to it, your DMN is solving problems, making new connections and associations and working up ideas.

Allowing your mind to relax and wander has long been recognised as a method for idea generation and problem-solving. We start by directing our attention to a problem, allowing it to circulate, and then letting it go. By focusing on menial and mundane tasks, such as taking a shower or exercising, we allow our brains to work quietly in the background.
When sitting down to focus on a specific problem or challenge, we slow down our Default Mode Network, and the problem becomes harder to find an innovative solution. We slip into something called "functional Fixedness" which prevents us from looking at a problem from several different perspectives. You DMN has been shown to have a negative correlation with other networks that control attention.
The brain is continuously involved with energy consumption and only uses 5% more energy when engaged in a highly focused task.
Default Mode Networks was first coined by a neurobiologist called Marcus E. Raichle in 2001 to describe the brain's resting state. He developed the idea that a network of areas within the brain involved in internally directed thought reduces when the brain engages in specific goal-directed behaviours. This was later confirmed by fMRI scans, which showed the areas that lit up when the brain is resting.
Research has shown that some specific regions can be broadly divided into three functional hubs: information about the self, Thinking about others and autobiographical memory, and future simulation.
What has also been found is that these networks are better connected in children aged 9-12 years. This suggests that the DMN forms as part of the development of the growing person. Notably, there is also a decline in glucose (energy) in the DMN in people with Alzheimer's disease. The fall has been shown to start slightly decreased in patients with mild disease and escalates to large reductions in severe patients.
When we listen to or read a story or watch a movie, our DMN areas are active and correlated with each other. Our DMN operates on the level of comprehension and not in terms of language. When we engage in an external goal-oriented task, which requires visual attention or cognitive working memory, we deactivate our Default Mode Network, unless the task involves memory or social specifics.
The DMN is deeply involved in what is called Theory of mind. A term used to describe our brains concept of other people's minds and how they think.
Further recent research has highlighted the DMN relationship to the perception of beauty. The DMN areas react to stimulation by aesthetically moving things such as artworks, landscapes, and architecture. This would explain why we feel a deep sense of pleasure related to these things, mainly if they are interconnected with the sense of personal identity and how the network functions associated with the sense of self.
The Default Mode Network explains why we need to day-dream when working or thinking creatively; why we need to let our minds wander and ruminate on a challenge or problem.
The value of setting a problem aside for later consideration is highly underestimated, mainly when we are up against a deadline. It balances awkwardly with the notion that you must put in the time, the hours, to improve and progress in any task. However, when we deal with idea generation and problem-solving, techniques and strategies help us get into the right mindset to allow the mind to work unfettered in the background.
Posing a challenge or problem, particularly for creative thinking, setting it aside for future consideration can be assisted by the following techniques.
Techniques for creating a better Default Mode Network and allowing your mind to think creatively.
MEDITATION.
Meditation benefits have long been acknowledged for reducing stress, increasing mindfulness, and assisting with a positive mindset. Meditation also creates structural changes in the areas of the DMN. This has been shown in the temporoparietal junction, the posterior cingulate cortex and the precuneus. Meditation activates the DMN and allows it to learn to roam more freely in finding associations and solutions.

SLEEPING AND RESTING WAKEFULNESS.
Sleep is an altered state of consciousness that occurs naturally and affects both mind and body. Our sensory activity is inhibited, and nearly all voluntary muscles movement, particularly during rapid eye movement (REM) sleep. Our interaction with our environment is minimal, yet our brains are still functioning, particularly our Default Mode Networks. The benefits of sleep have been the subject of many studies in recent years. All show that the quality of sleep is vital for our wakefulness, alertness, health and wellbeing. This is especially true for creative thinking and problem-solving.

During sleep deprivation, the functional connectivity between nodes of the DMN areas is decreased. There is also evidence that sleep deprivation decreases connectivity between the DMN and the task-positive network.
EXERCISE AND PHYSICAL ACTIVITY.
Sports scientists have shown that our ability to overcome creative solutions problems is increased by physical exercise, particularly aerobic exercise. It has also been shown that there is greater connectivity between the areas involved in the DMN following exercise.
A significant part of elite athlete training (and other disciplines) revolves around setting the right mental attitudes and mindsets. Team Sky Cycle Team famously carried the cyclist's mattresses and pillows with them on their tours. Thus, the cyclists could improve their performance, mentally and physically, with a good night's rest.

CONCLUSION.
We engage our Reticular Activating System (RAS) to focus our conscious attention on something we care about, a problem or challenge. However, when we set the problem aside, our Default Mode Network (DMN) takes over and unconsciously works to address the issue. Physical tasks, such as running or training, distract us from conscious, focused problem-solving attention. Optimise the conditions and environment to allow your DMN to function crucial for creative problem solving or ideation. When we are not involved in a specific task, our brains are still working in the background.
For creative thinkers, this is what happens when they speak about creative intuition or instinct. Their Default Mode Network, directed by their Reticular Activation System has been trained to give them the right creative inspiration conditions.
So, relax, do nothing. Let your default Mode Network do the work.




Comments
There are no comments for this story
Be the first to respond and start the conversation.