Tension Pneumothorax And Hemothorax
Pneumothoraces And Chest Bleeding

Overview
Two significant medical diseases that can damage the lungs and make breathing difficult are tension pneumothorax and hemothorax.
When air builds up in the pleural space, which is the region between the lung and the chest wall, tension pneumothorax results, which raises pressure inside the chest cavity. If neglected, this can result in a collapsed lung, compression of the heart and main blood arteries, and even death.
Contrarily, a hemothorax is a collection of blood in the pleural space that can also result in a collapsed lung and respiratory problems. It might be brought on by trauma or bleeding issues.
Tension Pneumothorax
Pneumothorax that expands to the point where it compresses on aorta, heart with superior and inferior vena cava called Tension Pneumothorax. When the pressure buildup the mediastinum and trachea are pushed away from affected side.
Compression of superior vena cava result in jugular vein distension
Compression of aorta and heart decreases cardiac output which result in both drop in blood pressure and altered mental status
Suspection Of Pneumothorax
If breathing sound are absent on affected side and severe dyspnea and jugular vein distension are present then tension pneumothorax should be immediately suspected
Tracheal deviation away from affected side is a very late sign. Affected athletes will appear anxious and restless, hypotensive with a rapid and thready pulse, and on the verge of circulatory collapse.
Percussion will result in hyperresonanace on affected side
Emergency Action
Because of diminished left side breath sounds and absence of an injury , athletic trainer suspects a spontaneous pneumothorax , Oxygen is administered and emergency action plan is initiated , While awaiting arrival of EMS athletic trainer places athlete in a position of comfort and monitors his/her vital signs and breath sounds every 5 minutes.
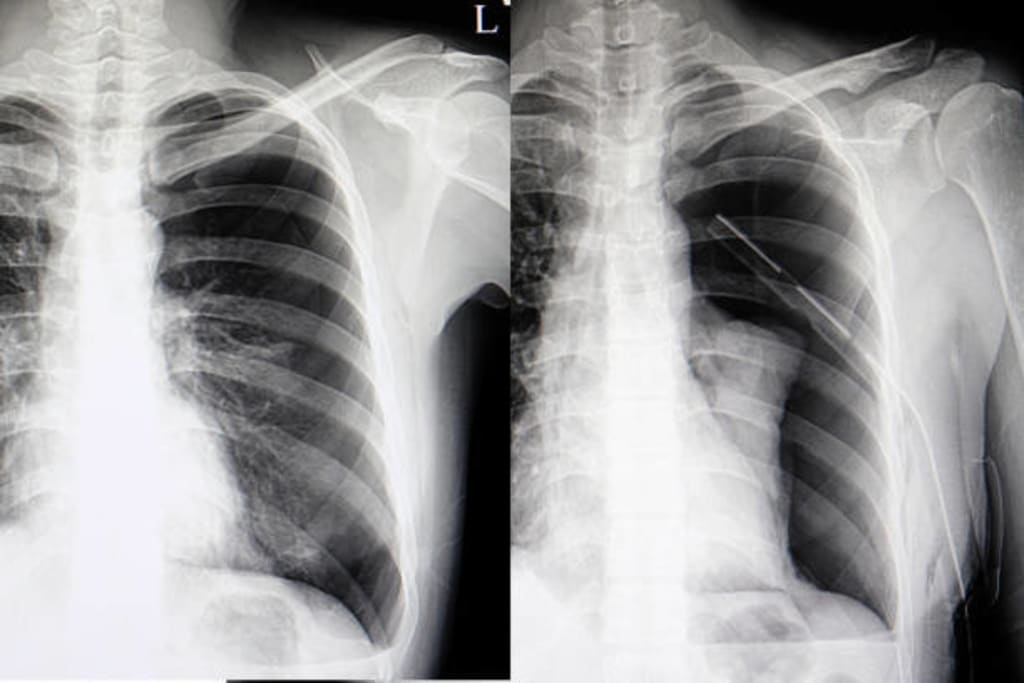
Emergency Decompression For Tension Pneumothorax
An emergency needle thoracentesis is performed by placing a long 14 gauge intravenous catheter into second intercostal space at midclavicular line on the side of absent breath sounds. Attach a syringe filled with sterile saline or water to catheter
Pass the needle just superior to the third rib because the intercostal artery, vein , and nerve pass just below each rib and may be injured if needle is too high.
Advance the needle until pop is felt and air bubbles are seen in syringe , At this point advance the catheter and remove the needle and syringe , Secure catheter in place and create a one way valve by cutting finger off of a latex glove , secure it to hub of catheter and place a small opening in end.
If symptoms persist , place another catheter in same manner in a slightly different location , Occasionally catheter may clog or kink if it should occur catheter may needed to replace Rapid transport to trauma center for continued treatment
Hemothorax
Blood entering the pleural cavity result in hemothorax and mechanism is same as pneumothorax , As more blood is accumulated there is a less room for lung and eventually the lung is unable to function , If lungs become compromised , athlete will develop dyspnea and chest pain and the jugular veins will become distended.
The pleural cavity on each side of thorax can hold 2 to 3 liters of blood so shock will quickly develop
Symptoms
Symptoms of hemothorax are same as for Pneumothorax except percussion will produce a dull hyporesonant sound
Treatment
Effective treatment of hemothorax includes oxygen supplementation and respiratory support , Intravenous fluid resuscitation is under taken with great care because an over load of fluid may result in significant pulmonary edema and difficulty in ventilation during hospital course of treatment
Adequate oxygenation and ventilation will most likely require endotracheal intubation and positive pressure ventilation
Conclusion
Both ailments need immediate medical care and treatment, which may entail inserting a chest tube to drain the blood or air from the pleural space and enable the lung to re-expand. Surgery can be required in some circumstances to fix any underlying damage.
About the Creator
umamanidrah
Hello to all, My name is Umama Nidrah and by profession I'm a physiotherapist and I am seeking for Article writing , Blog writing that is related to health with some interesting initiatives which are also uptodate.



Comments
There are no comments for this story
Be the first to respond and start the conversation.