Children are being affected by a mysterious condition known as 'white lung pneumonia'. Here is the essential information you should be aware of.
Health article

The Warren County Heath District in Ohio has released a statement indicating that there has been a surge in cases of pneumonia among children in the area.
Since August, they have reported 145 cases of pneumonia in children aged three to 14.
The district has classified this as an "outbreak" due to the higher than usual number of cases.
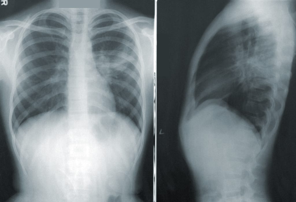
The main pathogens identified so far include streptococcus pneumoniae, adenovirus, and mycoplasma pneumoniae, which have also been seen in outbreaks in China and Denmark.
The average age of those affected is eight years old. While the cases have been reported across multiple school districts in Ohio, it is unclear if there are any common patterns among the diagnosed children.
The district has emphasized that these illnesses are not uncommon and no deaths have been reported in relation to the outbreak.
They believe that this increase in pneumonia cases is not due to a new respiratory virus, but rather a significant rise in typical pediatric pneumonia cases.
It is not unusual for respiratory illnesses to spread during the colder months.
In China, similar cases on a larger scale have been observed, where respiratory illnesses like influenza, rhinoviruses, and mycoplasma pneumonia, also known as white lung syndrome, are circulating in communities.
According to reports, children's hospitals in China are being overwhelmed by these respiratory illnesses, with one hospital in Beijing admitting at least 7,000 patients daily.
The Chinese Health Ministry has stated that these respiratory illnesses are not new and are already known.
Maria Van Kerkhove, the acting director of WHO's Department of Epidemic and Pandemic Preparedness and Prevention, suggests that the increase in cases among Chinese children could be attributed to the lifting of Covid-19 restrictions for the first time.
She explains that restrictions would have previously prevented children from contracting pathogens, and as seen in many countries a year or two ago, respiratory illnesses tend to rise after restrictions are lifted.
Denmark is also experiencing a spread of mycoplasma pneumonia, with epidemic levels reached and 541 new cases recorded by the end of last week, according to a Danish Ministry of Health research group.
However, the Warren County Health District in Ohio claims that there is currently no evidence linking the outbreak in Ohio to other surges, whether statewide, nationally, or internationally.
Dr. Robert Frenck, a pediatrician in the Division of Infectious Diseases at Cincinnati Children's Hospital, acknowledges that having 140 cases in one county is higher than the norm but explains that outbreaks of viruses are not uncommon, as seen during the pandemic a couple of years ago.
Mycoplasma pneumonia is a bacteria that can create mild infections by destroying the lining of the respiratory system, as stated by the Centers for Disease Control and Prevention (CDC). In the US, approximately two million cases are recorded each year, with surges of the illness peaking every three to seven years.
According to NBC, some countries may be experiencing a surge in cases simply because they were due for a peak.
Symptoms of the infection can appear after one to four weeks and typically last longer than typical pneumonia.
The bacteria is spread through coughs and sneezes and is usually transmitted between people who spend a lot of time together.
In Ohio, the Warren County Health District reported that most children with the illness have been experiencing symptoms such as cough, fever, and fatigue.
Other symptoms listed by the CDC include sore throat and headaches. Children under five may also experience sneezing, a stuffy or runny nose, watery eyes, wheezing, vomiting, and diarrhea.
While most people can recover at home with antibiotics, severe cases may require hospital attention and can lead to serious complications such as pneumonia, asthma attacks, swelling of the brain, hemolytic anemia, kidney problems, and skin disorders.
Individuals with compromised immune systems or those in the process of recovering from respiratory illnesses are more susceptible to risks than the general population.
While there is no vaccine currently available, the Ohio health district and the CDC advise taking preventive measures such as covering your mouth when coughing or sneezing and practicing regular hand hygiene to prevent the spread of illnesses.


Comments
There are no comments for this story
Be the first to respond and start the conversation.