
Jesus Ponce
Bio
I grew up living with epilepsy, and with this I always resorted to the arts for relaxation and stress relief. My love for music is phenomenal, and my hobby to write stories to share to the world has always been a big dream of mine.
Stories (5)
Filter by community
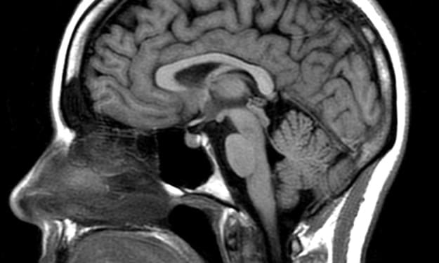
Living With Epilepsy: How It Changed My Life - Part 3
Two weeks had passed and the results had been sent to a neurologist and my pediatrician to review. The mass that was reported earlier was analyzed further and had a diagnosis. My parents received the call to set up an immediate appointment in order to review the results.
By Jesus Ponce8 years ago in Longevity
Colonizing Space
Now I'm no scientist, but I've been very intrigued by the thoughts for future human civilization. I tend to wonder what our potential is as humans, and as we become more and more advanced in technology, what kind of heights we could reach. Of course, it may not be in our lifetime, but have you ever wondered how humans would be 500 years from now? Back in the early 1900s, people believed flying cars would be mass produced, or even that education would be "much more hi-tech."
By Jesus Ponce8 years ago in Futurism
Living with Epilepsy: How It Changed My Life - Part 2
It was difficult for me, letting all of this news sink into what was actually not a dream at all, but a reality. I still, however, could not shake off the dreadful feeling of uneasiness that haunted me with every passing second.
By Jesus Ponce8 years ago in Longevity
Living with Epilepsy: How It Changed My Life: Part 1
I've come a long way since my first encounter with something I would have to live with for the rest of my life. I was a normal child that enjoyed everything that every child would. Playing outside in the mud, with toys, or even playing with other children that you would meet in the park during the day. I made lots of friends in school and did the best I could to get the highest grades possible. I wanted to grow up and do the best I could in life. I wanted to go to college and earn a degree in my dream job in the field of engineering. I wanted to show my parents the potential I had to achieve whatever I set my mind to.
By Jesus Ponce8 years ago in Longevity
Grandma's Curse
Grandma and I have been living in her old Dutch Colonial since I was a baby. I never met my grandfather, for he had passed away years before I was born. My parents left me at my grandmother's when I was just a few days old, so I really never met them either. I really didn't care however, for my grandma treated me like royalty. She always referred to me as her "little princess" which always made me feel warm on the inside. Even though it was just me and my grandmother in that house, I enjoyed it to the fullest.
By Jesus Ponce8 years ago in Horror




